· Head cheese is an organ sausage or meat jelly often served cold or at room temperature, typically made with meat from the heads of pigs or calves What is head cheese made of? · The head cheese sign refers to a juxtaposition of regions with three (or sometimes more) different densities/regions of different attenuation within the lungs ground glass opacities (high attenuation) mosaic attenuation pattern (low attenuation) normal lung tissue (normal attenuation) A mixSevere head injuries require immediate medical attention because there's a risk of serious brain damage These pages focus on severe head injury Find out more about minor head injuries Symptoms of a severe head injury can include unconsciousness – where a person has collapsed and is unresponsive, even for a brief period of time
Cheese Sign Sliced Food With Chief Hat Icons Clipart K Fotosearch
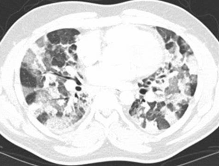
Head cheese sign sarcoidosis
Head cheese sign sarcoidosis-• The head cheese sign refers to a juxtaposition of regions with ground glass opacities, mosaic attenuation pattern, and normal lung tissue This sign is highly specific for hypersensitivity pneumonitis, although it can also be seen in other mixed infiltrative and obstructive processes • Several other metaphoric chest CT scan signs have been described linking abnormal imagingDiscussão de caso clínico



High Resolution Ct Of The Lung
· Almost Head cheese is, in fact, made with heads real ones, from pigs But there is no cheese involved, and really the word "cheese" was probably employed because referring to something as "head loaf" is really quite unappetizingHello, Sign in Account & Lists Account Returns & Orders Cart All Best That's What Cheese Said WI Greenbay Cheese Head State Shirt $1799 $ 17 99 FREE Shipping on orders over $25 shipped by Amazon Original Cheesehead Mighty Cup 2Tone Ceramic Mug Gold & White, 15 oz 3MM5070 50 out of 5 stars 8 $39 $ 39 Get it as soon as Fri, May 28 FREE Shipping onHead cheese sign Hidebound appearance HillSach's deformity Hilum convergence sign Hilum overlay sign Holly Leaf sign Honda signNucs Honeycombing Hotcross bun sign Hot Nose signNucs Hurricane signNucs Top Hshaped vertebrae I Incomplete fissure sign Incomplete rim sign Insideout signliver Insular ribbon sign Ivory phalanx sign Top Ivory vertebra J
The head cheese sign refers to a juxtaposition of regions with three (or sometimes more) different densities/regions of different attenuation within the lungs groundglass opacities (high attenuation) mosaic attenuation pattern (low attenuatioThe head cheese sign refers to a juxtaposition of regions with three (or sometimes more) different densities/regions of different attenuation within the lungs HEAD CHEESE SIGN, GROUND GLASS, MOSAIC PATTERN SARCOIDOSIS, STAGE IV, PTX, ENCASEMENT · The name of this sign is derived from "headcheese" which is a European dish consisting of meat pieces The name indicates the heterogeneous mosaic appearance of thorax This occurs due to infiltration of inflammatory cells in parenchyma (ground glass opacity) in a patchy distribution with normal lung in between There is also a bronchospastic component of
Headcheese definition 1 meat from the head of a pig, cooked, and pressed into a block 2 meat from the head of a pig Learn moreHead Cheese Signcombination of groundglass opacity and mosaic perfusion on chest CT seen in hypersensitivity pneumonitis, DIP, sarcoid Hockey Stick Ureter (AKA Fishhooking)Jshaped appearance of distal ureter from enlargement of prostate and elevation of trigone usually in BPH Mouse over to enlarge image where availableHog's Head Cheese Sign A term of art referring to a CT appearance in which there are mixed densities of lung parenchyma which has been fancifully likened to the appearance of the mixture of boiled pork scraps and pigs' feet in a gelatinous base which is marketed as hog's head cheese



Head Of Cheese Icon Vector Head Of Cheese Sign Color Symbol Royalty Free Cliparts Vectors And Stock Illustration Image



A Graphic Showing A Cut Piece Of A Head Cheese Case Courtesy Of A Download Scientific Diagram
It's called Head cheese because a lot of the meat in it comes from the head, like the cheek, tongue, some use lips, ears, and any left over meat scraps from trimming other cuts of meat from the carcass That being said, it is not an organ meat loaHow to cook Head CheeseFull recipe http//wwwculinarywishescom/headcheese/Easy and tasty traditional recipe! · Awesome stuff that accumulates on a hooded dick Ripens with age An acquired taste



Jack Iwashyna These Are The Teaching Figures For Comet Tail Crazy Paving And Head Cheese T Co Umomjp3ueo



H
May 10, 15 This Pin was discovered by Dr Nazahat Pasha Discover (and save!) your own Pins onThe head cheese sign is considered to be highly specific for hypersensitivity pneumonitis, although it can also be seen in other mixed infiltrative and obstructive processes (eg sarcoidosis and atypical infections associated with bronchiolitis (eg mycoplasma pneumonia) Head cheese, believe it or not, is not cheese and is often not made of the head It is, in fact, a type of terrine,Corpus ID Headcheese Sign A Useful Radiological Marker @article{Sarkar17HeadcheeseSA, title={Headcheese Sign A Useful Radiological Marker}, author={Rathindranath Sarkar and R Paul and R Pandey and I Thakur and A Karmakar}, journal={The Journal of the Association of Physicians of India}, year={17}, volume={65 4},



The Headcheese Sign In Chronic Hypersensitivity Pneumonitis Download Scientific Diagram



Head Of Cheese Isometric Icon Vector Illustration Stock Vector Illustration Of Louvremuseum Pictogram
Headaches Most headaches go away on their own and are not a sign of something more serious How you can ease headaches yourself Headaches can last between 30 minutes and several hoursHead cheese or brawn is a cold cut terrine or meat jelly, often made with flesh from the head of a calf or pig (less commonly a sheep or cow), typically set in aspic, that originated in Europe Usually eaten cold or at room temperature, the dish is, despite the name, not a dairy cheese The parts of the head used in the dish vary, though commonly do not include the brain, eyes and ears of theYour account has been temporarily locked due to incorrect sign in attempts and will be automatically unlocked in 30 mins For immediate assistance, contact Customer Service (within USA), (international) email protected



Epos Trade



Head Cheese Sign Ref India
In southern Louisiana, hog's head cheese is a specialty that used to be a deli and butcher shop staple A glistening block of quivering meat, this "cheese" is dairyfree, but emphaticallyTranslation for 'headcheese' in the free EnglishFrench dictionary and many other French translationsSpanish Translation of "head cheese" The official Collins EnglishSpanish Dictionary online Over 100,000 Spanish translations of English words and phrases



Boar S Head Head Cheese Sliced Shop Meat At H E B



Head Cheese Sign Axial Chest Ct With Lung Window Shows A Combination Download Scientific Diagram
Just to be clear, head cheese does not mean the brain, ears, or eyes Usually, head cheese is made with what's left over after those organs have been removed · How to make head cheese from your homestead hog Here is a hog head cheese recipe from Kathy and Bob Kellogg, authors of Raising Pigs for Meat Split the head into halves with a meat saw Remove the eyes and clean the ears and nostrils Rub the head halves with coarse salt and pack loosely into a large kettle Leave for two days in a cool place · Rub head with sea salt, white pepper, red pepper and 1 tablespoon herbs de Provence Let cure, refrigerated, for two days Rinse head, remove the tongue and refrigerate for later use, and then place the head in a large soup pot Add wine, herbs de Provence, vegetables and then water to cover Bring to a boil, and then simmer several hours until



High Resolution Computed Tomography Patterns Of Diffuse Interstitial Lung Disease With Clinical And Pathological Correlation



Head Cheese Cartoon Royalty Free Gograph
The head cheese sign refers to a juxtaposition of regions with three (or sometimes more) different densities/regions of different attenuation within the lungs groundglass opacities (high attenuation) mosaic attenuation pattern (low attenuation) normal lung tissue (normal attenuation)Developed by renowned radiologists in each specialty, STATdx provides comprehensive decision support you can rely on Head Cheese Sign link Bookmarks (0) Chest Diagnosis Overview of Chest Imaging Chest Radiographic and CT Signs Head Cheese SignCurrent usage Wisconsin is associated with cheese because the state historically produced more dairy products than other American states, giving it the nickname "America's Dairyland" The use of the term "cheesehead" as a derogatory word for Wisconsinites originated with Illinois football and baseball fans to refer to opposing Wisconsin sports fans The term, however, was quickly



Figure 41 From High Resolution Ct Of The Lung Patterns Of Disease And Differential Diagnoses Semantic Scholar



High Resolution Ct Of The Lung
Information and translations of headcheese in the most comprehensive dictionary definitions resource on the web · Headcheese Sign Headcheese sign refers to a radiological pattern in a chest CT scan that can be associated with several pathological entities, from different etiology such as an infection, an immune response or drugs The name comes from the juxtaposition of 3 different densities with welldefined margination of hazy groundglass opacity that looks like a "paté" TheDefinition of headcheese in the Definitionsnet dictionary Meaning of headcheese What does headcheese mean?



Chronic Hypersensitivity Pneumonitis Mixed Densities Of Patchy Ggo Normal Regions Air Trapping Forming Head Cheese Sig Patchy Head Cheese Hypersensitivity



M 3 M 21 Focal Reticulonodular Patterns A
Head cheese (also brawn) volume_up Schwartenmagen {m} 2 American English head cheese (also brawn, headcheese) volume_up Presskopf {m} 3 gastronomy, American English head cheese volume_up Presswurst {f} Similar translations Similar translations for "head cheese" in German cheese noun GermanSee more of our delicious recipe on http//Headcheese definition a seasoned jellied loaf made from the head and sometimes the feet of a pig or calf Meaning, pronunciation, translations and examples



Head Cheese Sign Lungs Radiology Reference Article Radiopaedia Org



Jcdr Forced Vital Capacity Pulmonary Disorders Usual Interstitial Pneumonia Vital Capacity
/05/11 · The head cheese sign refers to the combination of groundglass opacity with mosaic attenuation and resembles the disgusting end result of combining various parts of an animal's head and face into a coldcut · Chill liquid completely Place pig's head and feet in brine, cover with a heavy plate and chill at least 24 hours To cook headcheese Remove pig's head(redirected from Head Cheese Sign) A term of art referring to a CT appearance in which there are mixed densities of lung parenchyma which has been fancifully likened to the appearance of the mixture of boiled pork scraps and pigs' feet in a gelatinous base which is



Head Cheese Sign Radiology Imaging Radiology Pulmonology



Head Cheese Sign Radiology Www Medicaltalk Net The Best Medical Forum For Medical Students And Doctors Worldwide
In an open area, Andy Farnham tended two smoking kettles, out of one of which peeped a hog's head being cooked for head cheese, Farm goes whole hog in recreating 10s sausagemaking The menu lists deviled eggs with smoked oil and ash, head cheese terrine with cornichons and house pickles, a good selection of local and imported cheese, and cured duck breast with



Alveolar Airspace Lung Disease Acute Chronic And Ground



Food Signs In Radiology



Esti16 Twitter Search



Vector Art Cheese Sign Sliced Food With Chief Hat Icons Eps Clipart Gg Gograph



Head Cheese Sign Axial Chest Ct With Lung Window Shows A Combination Download Scientific Diagram



Technical Aspect Of Hrct Interstitial Lung Diseases Ppt Download



Demystifying Fibrotic Hypersensitivity Pneumonitis Diagnosis It S All About Shades Of Grey European Respiratory Society



Crack The Core Chest Flashcards Quizlet



Head Of Cheese Icon Vector Outline Illustration Stock Vector Illustration Of Black Icon



Hypersensitivity Pneumonitis And Eosinophilic Lung Disease Radiology Key



Chest Radiology Plain Film And Ct Beyond The Basics Ppt Video Online Download



Southwest Journal Of Pulmonary Critical Care Imaging Medical Image Of The Week Headcheese Sign



Case Based Glossary With Tips And Tricks Springerlink



Allergic Lung Diseases Hypersensitivity Pneumonitis And Eosinophilic Lung Disease Radiology Key



Head Of Cheese Icon Vector Outline Illustration Stock Vector Illustration Of Black Icon



Figure 3 Sign Fleischner Sign Fissure Sign Headcheese Sign Hilar Over



Hrct Of Common Lung Diseases W Richard Webb Md Common Lung Diseases Hrct Infections Pneumonia Airways Disease Infections Pneumonia Airways Disease Ppt Download



Variable Utility Of Mosaic Attenuation To Distinguish Fibrotic Hypersensitivity Pneumonitis From Idiopathic Pulmonary Fibrosis European Respiratory Society



Pin On Hog Head Cheese Pate Terrine Souse



Headcheese Sign



Hypersensitivity Pneumonitis Radiology Reference Article Radiopaedia Org



Cheese Sign Sliced Food With Chief Hat Icons Clipart K Fotosearch



Cheese Sign Sliced Food With Chief Hat Icons Vector Image By C Blankstock Vector Stock



Head Of French Cheese Line Icon Stock Illustration Download Image Now Istock



Multiple Lung Parenchymal Abnormalities Don T Panic Let S Be Pragmatic The 6 Question Rule A Checklist Strategy Sciencedirect



Multiple Lung Parenchymal Abnormalities Don T Panic Let S Be Pragmatic The 6 Question Rule A Checklist Strategy Sciencedirect



Vector Head Of French Cheese Flat Color Line Icon Symbol And Sign Illustration Design Isolated On White Background Canstock



Unusual Cause Of Hypersensitivity Pneumonitis With Characteristic Head Cheese Sign Anand S Gothi D Indian J Med Res



Malone S Fine Sausage Recalls Pork Head Cheese For Possible Listeria



There S A Heifer In Your Tank The Evolution Of Head Cheese Everything But The Squeal



Nacwzmenuvdm



High Resolution Ct Of The Lung



The Headcheese Sign In Chronic Hypersensitivity Pneumonitis Download Scientific Diagram



Reticular Pattern



Hypersensitivity Pneumonitis Radiology Reference Article Radiopaedia Org



Mozzarella Cheese Vector Photo Free Trial Bigstock



Epos



The Road To Hrct Evaluation Of Pediatric Diffuse Lung Diseases Part 1



Epos Trade



Signs In Radiology Head Cheese Sign Lungs



Head Cheese Stock Illustrations 2 443 Head Cheese Stock Illustrations Vectors Clipart Dreamstime



Epos Trade



Ild In Head Cheese Sign To Differentiate Between Chronic Hp And Ipf Ildin19



Head Cheese Discography Discogs



Chest Rads Tk Flashcards Chegg Com



High Resolution Computed Tomography Patterns Of Diffuse Interstitial Lung Disease With Clinical And Pathological Correlation



The Swiss Cheese Model Of Pandemic Defense The New York Times



H



Multiple Lung Parenchymal Abnormalities Don T Panic Let S Be Pragmatic The 6 Question Rule A Checklist Strategy Sciencedirect



Hypersensitivity Pneumonitis A Historical Clinical And Radiologic Review Radiographics



8 Things You Didn T Know About Wi Cheese Travel Wisconsin



과민성 폐렴 진단 Hypersensitivity Pneumonitis Hp Diagnosis 네이버 블로그



Head Cheese Man By Hepoloysa On Amazon Music Amazon Com



The Headcheese Sign In Chronic Hypersensitivity Pneumonitis Download Scientific Diagram



The Headcheese Sign In Chronic Hypersensitivity Pneumonitis Download Scientific Diagram



Hrct Part Ii Sarcoidosis And Hypersensitivity Pneumonitis Youtube



Reticular Pattern



Head Cheese Sign Lungs Radiology Reference Article Radiopaedia Org



Figure 3 Sign Fleischner Sign Fissure Sign Headcheese Sign Hilar Over



Head Cheese Probably Isn T What You Think It Is Photos Huffpost Life



Head Cheese Probably Isn T What You Think It Is Photos Huffpost Life



Headcheese Sign



Imaging Of Covid 19 Simulators Springerlink



Head Cheese Wikipedia



Head Cheese Boar S Head



Head Cheese Wikipedia



Head Cheese Recalled Due To Possible Listeria Contamination Kane County Connects


0 件のコメント:
コメントを投稿